By Robert L. Barrack, MD
ORTHOPEDICS 2007; 30:725
September 2007

Robert L. Barrack
Total hip arthroplasty (THA) is among the most successful interventions in medicine. It is the best option for most patients with end-stage arthritis of the hip. However, THA has some limitations, and problems with THA are far from nonexistent. Revisions account for almost 20% of hip cases in the United States, and this number is growing.1 These revision cases pose a greater risk for patients.
Avoiding the need for revision would be a substantial benefit, and diminishing the morbidity should revision become necessary would be equally important. Potential problems also exist in performing a THA in many young, active patients, and hip resurfacing offers advantages in many of these areas.
Indications and Advantages of Hip Resurfacing
Managing Femoral Deformity and Suboptimal Anatomy
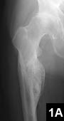
An uncommon, but useful indication for hip resurfacing is for patients with proximal femoral deformity, in whom a total hip can be difficult if not impossible (Figure 1). More commonly, suboptimal anatomy is an issue, as with patients in whom even the smallest stem requires reaming, which puts patients at long-term risk for stem fracture (Figure 2). Conversely, a large canal presents problems for implanting a cementless stem (Figure 3).

Figure 1: Preoperative radiograph of a patient with post-traumatic arthritis decades after sustaining a fracture in an airplane accident (A). Postoperative radiograph after successful total hip resurfacing confirms standard total hip arthroplasty would have been a massive undertaking (B).
Avoiding Stress Shielding
The presence of a femoral stem inevitably causes some degree of thigh pain, which is more common with larger stems.2 Stress shielding occurs over time from nonphysiologic hoop stresses. The long-term sequelae include bone loss, thigh pain, and stem fracture. The only hip arthroplasty associated with maintaining or increasing bone density is metal-metal hip resurfacing.3
Preventing Limb-length Difference and Dislocation
The major long-term complications of THA leading to more morbidity, dissatisfaction, and lawsuits are limb lengthening and dislocation. With hip resurfacing, the incidence of dislocations is markedly less than with THA. In the Medicare database, 4% of THA patients experience a dislocation in the first 6 months following surgery.4

Figure 2: Preoperative templating of a 38-year-old dancer reveals the smallest standard stem available would still require reaming of cortical bone (A). Postoperative radiograph shows successful hip resurfacing was performed without entering the femoral canal (B).
Retaining Bone Stock for Future Revisions
Another major advantage of hip resurfacing is retaining bone stock for future revisions. Conversion to a THA is more similar to a primary than a revision procedure in terms of operative time, blood loss, and clinical success.5
Enabling Patients’ Return to a High Activity Level
The most compelling argument in favor of hip resurfacing is activity level. The fastest growing segment of the THA marketplace is patients <55 years. These patients want to maintain an active lifestyle, and they shun limitations.
In a study completed this year, a survey of the leading hip surgeons in the United States was performed regarding what activities they recommend to their patients. Activities prohibited by approximately 80%, even with the new bearing surfaces or large metal heads, included virtually every activity that required any impact.6
In contrast, surgeons generally do not limit activities after hip resurfacing. In a recently published study, following hip resurfacing, 92% of patients participated in sports, and none gave up their preferred sport.7 This high level of activity apparently does not compromise the clinical result. In a study of 446 hips in patients <55 years who were given no activity restrictions, 90% of patients returned to sports, and there was only 1 revision in 2 to 8 years of follow-up.8
We are now dealing with a new generation of hip patients. They are more informed and involved, educated, and active. The concepts of maintaining bone and less activity restriction resonate with them. They know others who have had hip replacement, and they have researched all of the available data on hip replacement, including the data on new bearing options. A high percentage of these patients have rejected THA and prefer the resurfacing concept.

Figure 3: Preoperative templating reveals the largest cementless stem would be necessary to obtain a press-fit (A). Postoperative radiograph shows successful hip resurfacing, which allowed the patient to return to competitive hockey (B).
Conclusion
Resurfacing is not for every patient or for every surgeon. However, it offers substantial advantages in properly selected patients. Because of this, metal-metal hip resurfacing has become the fastest growing arthroplasty procedure in the world in recent years outside the United States. With the US Food and Drug Administration granting approval in 2006 for one component, and approval for a second component pending, this trend will continue for the foreseeable future.
References
- Zhan C, Kaczmarek R, Loyo-Berrios N, Sangl J, Bright RA. Incidence and short-term outcomes of primary and revision hip replacement in the United States. J Bone Joint Surg Am. 2007; 89:526-533.
- Vresilovic EJ, Hozack WJ, Rothman RH. Incidence of thigh pain after uncemented total hip arthroplasty as a function of femoral stem size. J Arthroplasty. 1996; 11:304-311.
- Kishida Y, Sugano N, Nishii T, Miki H, Yamaguchi K, Yoshikawa H. Preservation of the bone mineral density of the femur after surface replacement of the hip. J Bone Joint Surg Br. 2004; 86:185-189.
- Phillips CB, Barrett JA, Losina E, et al. Incidence rates of dislocation, pulmonary embolism, and deep infection during the first six months after elective total hip replacement. J Bone Joint Surg Am. 2003; 85:20-26.
- Ball ST, Le Duff MJ, Amstutz HC. Early results of conversion of a failed femoral component in hip resurfacing arthroplasty. J Bone Joint Surg Am. 2007; 89:735-741.
- Klein GR, Levine BR, Hozack WJ, et al. Return to athletic activity after total hip arthroplasty. Consensus guidelines based on a survey of the Hip Society and American Association of Hip and Knee Surgeons. J Arthroplasty. 2007; 22:171-175.
- Narvani AA, Tsiridis E, Nwaboku HC, Bajekal RA. Sporting activity following Birmingham hip resurfacing. Int J Sports Med. 2006; 27:505-507.
- Daniel J, Pynsent PB, McMinn DJ. Metal-on-metal resurfacing of the hip in patients under the age of 55 years with osteoarthritis. J Bone Joint Surg Br. 2004; 86:177-184.
Author
Dr Barrack is from the Department of Orthopedic Surgery, Washington University School of Medicine, Barnes-Jewish Hospital, St Louis, Mo.
“Orthopaedic Crossfire” is a registered trademark of A. Seth Greenwald, DPhil(Oxon).
Correspondence should be addressed to: Robert L Barrack, MD, Dept of Orthopedic Surgery, Washington University School of Medicine, One Barnes-Jewish Hospital Plaza, 11300 W Pavilion, St Louis, MO 63110.